Measure Tools
Physicians and radiologists commonly measure specific tissues, organs, and anatomical structures to aid in diagnosis and treatment planning. Common clinical applications include:
- Tumor Monitoring: Measuring tumor size changes over time to assess treatment response.
- Orthopaedic Analysis: Measuring bone alignment angles for surgical planning.
- Opthalmology: Assessing macular grid thickness for retinal diseases.
Software capable of providing measurement tools go a long way in enhancing diagnosis and guiding therapeutic interventions. In this context, Vista provides tools for measuring distances between points, and angles. Learn how to use each of these below.
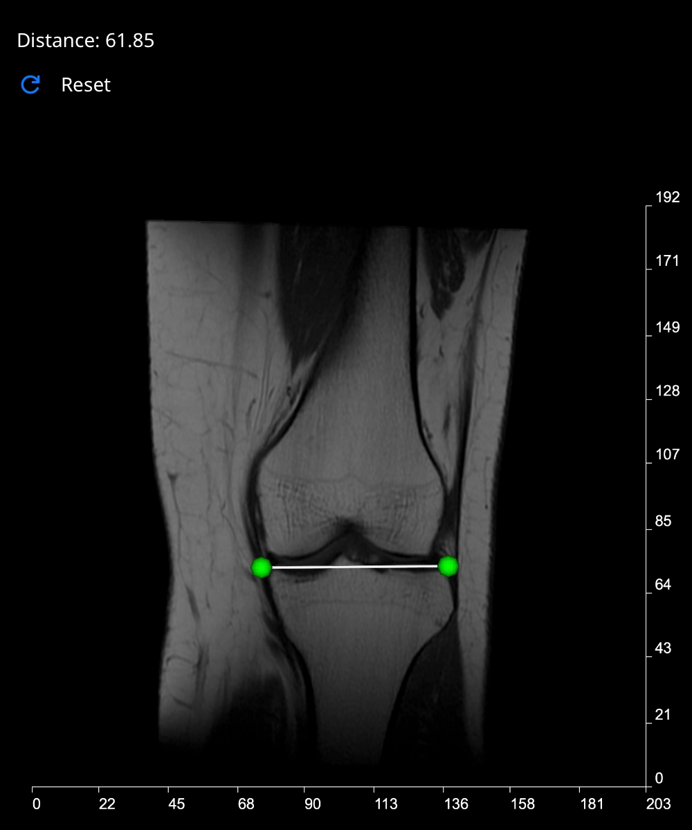
Measure Distance Tool
This tool works by following a few simple steps:
- Select the 'Measure Distance' button. Vista will reduce the opacity of the image in view by half, to enhance visibility and make your point placement more accurate.
- Move your cursor over the image, and left-click to place the first point. As you hover over the image, a blue polygon will follow your cursor. Once you place the first point, this polygon will turn green.
- As you move the cursor towards the second point, the Distance label at the top-left of the Rendering Canvas will be updated with the current distance in real time.
- Place your second point for a final reading.
If you want to start again, click the Reset button. When you are done, de-select the 'Measure Distance' button to deactivate this tool.

Measure Angle Tool
This tool works by calculating the angle between three points that you place on an image. The second point acts as the vertex, with the first and third acting as the arms of the angle. Follow the steps below to create an angle measurement:
- Select the 'Measure Angle' button. Vista will reduce the opacity of the image in view by half, to make your placement of points more visible and accurate.
- Move your cursor over the image, and left-click to place a point. As you hover over an image, a blue polygon will follow your cursor, giving you an indication of where your point will be placed. Once selected, the polygon will turn green.
- Repeat this process two more times to create the initial side, vertex and terminal side of the angle.
- Once complete, the 'Angle' label at the top-left of the Rendering Canvas will be updated with the measurement.
If you want to start again, click the Reset button to clear the Angle. When you are done, de-select the 'Measure Angle' button to deacivate this tool.


The left image above shows examples of angle measurements in full-length spine radiographs. The image to the right shows a Spinal Tilt angle measurement taken on a CT Scan in Vista.